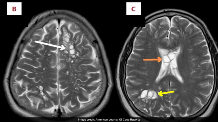
കഠിനമായ മൈഗ്രൻ ബാധിച്ച് ആശുപത്രിയിൽ എത്തിയ 52 കാരന്റെ തലച്ചോറിൽ നാടവീരകൾ കണ്ടെത്തി. ന്യൂയോർക്ക് പോസ്റ്റിന്റെ റിപ്പോർട്ട് അനുസരിച്ച് യുഎസ് പൗരനായ വ്യക്തിക്ക് കഴിഞ്ഞ നാല് മാസമായി തലവേദന അനുഭവപ്പെട്ടിരുന്നു. വേദന തീവ്രമായതൊടെ അദ്ദേഹം വൈദ്യസഹായം തേടി. സ്കാനിംഗിൽ തലച്ചോറിന്റെ ഇരുവശത്തുമായി ഒന്നിലധികം മുഴകൾ കണ്ടെത്തി, പിന്നീട് പരിശോധനയിൽ നാടവിരകളാണെന്ന് വ്യക്തമായി. രോഗിയെ ഉടൻ തന്നെ തീവ്രപരിചണ വിഭാഗത്തിലേക്ക് മാറ്റി ആദ്യ പടിയായി തലച്ചോറിലെ നീക്കം കുറയ്ക്കാനുള്ള ചികിത്സ ആരംഭിച്ചു.
പന്നിയിറച്ചി കൂടുതലായി ഉപയോഗിക്കുന്ന പ്രദേശങ്ങളിൽ കാണപ്പെടുന്ന പോർക്ക് ടേപ്പ് വേമാണ് തലച്ചോറിൽ കണ്ടെത്തിയത്. വേവിക്കാത്ത പന്നിയിറച്ചി കഴിക്കുന്നതാണ് വിരകൾ ശരീരത്തിൽ കടക്കാൻ പ്രധാന കാരണം. ന്യൂറോസിസ്റ്റിസെർകോസിസ് എന്ന പരാദ അണുബാധയാണ് രോഗിയിൽ സ്ഥിരീകരിച്ചത്. പാകം ചെയ്യാത്ത ഭക്ഷണം കഴിക്കുകയും ശുചിത്വ നിയമങ്ങൾ പാലിക്കാതിരിക്കുകയും ചെയ്താൽ വിരകൾ മനുഷ്യരെ ബാധിക്കാം. ശരിയായ ചികിത്സയുടെ അഭാവത്തിൽ ഇത് മാരകമായേക്കാമെന്നും വിദഗ്ധർ മുന്നറിയിപ്പ് നൽകുന്നു.
ജന്തുക്കളുടെ ചെറുകുടലിൽ അധിവസിക്കുന്ന ഒരിനം പരാദ വിരയാണ് നാടവിര. ഇത്തരം വിരകൾ തലച്ചോറിൽ കണ്ടെത്തുന്നത് അത്യപൂർവ്വമാണെന്ന് അടുത്തിടെ പ്രസിദ്ധീകരിച്ച അമേരിക്കൻ ജേണൽ ഓഫ് കേസ് റിപ്പോർട്ടിൽ പറയുന്നു. യുഎസിൽ ഇത്തരം രോഗബാധ അധികം കണ്ടെത്തിയിട്ടില്ല.















